
刊物名称:国际临床医学
主管单位:新加坡学术出版社
主办单位:新加坡学术出版社
国际刊号:ISSN 2705-1013
刊 期:月刊
主 编:张聪华
投稿邮箱:gjlcyxgw@163.com
电 话:023-68045338
刊社地址:重庆市北部新区洪湖西路
姚洪宇 卓文燕 刘礼斌
暨南大学珠海临床医学院 珠海市人民医院,广东 珠海 519000
摘要:目的:总结 1 例易误诊为脑梗死的抗 Ig1on5 抗体阳性的自身免疫性脑炎的临床诊治经验。方法:对患者的临床 资料进行回顾与分析。结果:患者中年男性,以视力下降起病,逐渐进展为“三偏征”样临床表现,多次按照脑梗死 治疗,效果不佳。我院颅脑 MR DWI 相脑内多发稍高信号病灶,完善脑脊液检测抗 Ig1on5 抗体阳性,经冲击治疗疗 效欠佳。后自动出院,2 月后随访患者症状无改善,且出现严重的失眠,半年后随访患者已故。结论:对于亚急性病程、 临床主征为“三偏征”、MR DWI 显示颅内多发高信号病变患者应排查抗 Ig1on5 抗体阳性自身免疫性脑炎,早发现早 治疗。
关键词:抗 Ig1on5 抗体阳性;自身免疫性脑炎;脑梗死
自身免疫性脑炎在我国研究历史较短,其所包含的种 类众多,其中抗 Ig1on5 抗体阳性自身免疫性脑炎罕见, 此病自 2014 年国外进行第 1 例报道以来,目前为止国内 外文献报道共 70 余篇[1]、[2],我国目前仅报道几例。本文 就临床诊治过程中 1 例误诊为脑梗死的抗 Ig1on5 抗体阳 性自身免疫性脑炎进行回顾性分析,将其诊治过程详细报 告如下。
1 临床资料
1.1 病例资料
患者,男性,42 岁,自由职业者,长期生活于澳门, 发病前无前驱感染及疫苗接种史,此次因视物模糊 3 月、 左侧肢体麻木伴乏力 1 月于 2022 年 5 月 17 日来院就诊。 患者于 3 月前(2022 年 2 月左右)开始出现视物模糊并 于 2 月前(2022 年 3 月初左右)病情进行性加重,以左 眼症状明显,伴有体位相关性头晕,呈现昏沉感,伴有睡 眠欠佳,曾就诊当地医院并行眼科相关检查,结果未见明 显异常,遂未予重视;1 月前(2022 年 4 月中旬)开始出 现左侧肢体麻木稍伴乏力感,自觉味觉轻度减退,于当地 医院就诊,完善 CT 提示右侧基底节低密度影,考虑脑梗 死,予以抗血小板聚集、调脂、改善循环等治疗 1 周左右, 患者病情未见好转。2022 年 5 月 12 日于外院行颅脑 MR 检查提示脑内多发异常信号,不排除脑梗死可能(因患者 托熟人在外院免费行头颅 MR,仅有口头报告,无影像片 及报告单),遂收入我科进一步治疗。既往史、个人史及 家族史无特殊,无嗜烟、嗜酒。入院体格检查:NIHSS 评分:4 分(视野部分偏盲:1 分;面瘫:1 分;一个肢 体共济失调:1 分;患侧轻度感觉减退:1 分),双眼视 力下降,左眼较重(右眼视力 0.5,左眼视力 0.1),双眼 有左侧同向性偏盲,双眼可见水平向右眼震,右侧眼球外 展受限。左侧额纹变浅,左侧面部痛觉减退,双侧鼻唇沟 对称,口角无歪斜,右侧软腭上抬欠佳,双侧咽反射减弱, 伸舌居中,左侧肢体肌力 4 级,右侧肢体肌力 5 级,左侧 指鼻试验欠稳准,右侧指鼻试验稳准,左侧肢体痛觉减退, 双侧肢体深感觉检查无明显异常,闭目难立征阳性,病理 征未引出,脑膜刺激征(-)。
1.2 辅助检查

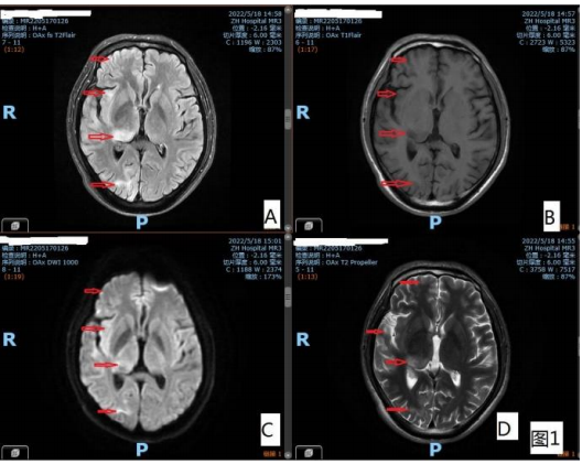
图 1 右侧外囊、颞叶、额叶、丘脑多发片状/斑片状 T1WI 稍低/低信号,T2WI 高信号,T2-Flair 高信号,DWI 稍高 信号影

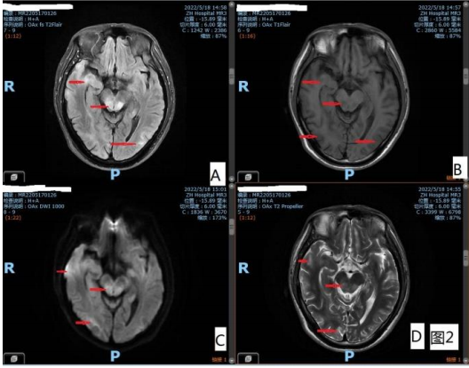
图 2 双侧中脑、颞叶、枕叶多发片状/斑片状 T1WI 稍低 /低信号,T2WI 高信号,T2-Flair 高信号,DWI 稍高信号 影 脑动脉 MRA 未见异常
颅脑 MRI:右侧顶叶、双侧颞叶、双侧枕叶、右侧岛 叶、右侧外囊、右侧丘脑、左侧海马、中脑、脑桥背侧可 见多发斑片状、片状 T1WI 低信号、T2WI 高信号、DWI 稍高信号,如图 1、图 2。
脑动脉 MRA 成像未见明显异常。胸部 CT 平扫:右 肺上叶小空洞影,建议抗炎后复查;汉密尔顿焦虑量表: 26 分,结果:肯定有焦虑状态;汉密尔顿抑郁量表:39 分,结果:肯定有抑郁状态。心脏彩超:三尖瓣轻度反流。 颈动脉彩超、椎动脉彩超、常规心电图、动态心电图、常 规脑电图、24 小时长程脑电图检查均未见明显异常。

图 3 脑脊液自身免疫性脑炎抗体 12 项提示抗 Ig1on5 抗体 1:100 阳性
腰椎穿刺检查测得脑脊液压力 70mmH2O,脑脊液生 化:微量白蛋白:668.8mg/L(参考值:150-450 mg/L), 有核细胞数:1 个/μL(参考值:<5 个/μL);周围神经 抗体(中科优联医学检验所采用免疫印迹法进行检测): sulfatides 抗体 IGM 弱阳性;脑脊液自身免疫性脑炎抗体 12 项(中科优联医学检验所采用基于细胞转染的间接免 疫荧光法进行检测):抗 Ig1on5 抗体阳性(1:100),如 图 3。
中枢神经系统脱髓鞘四项(中科优联医学检验所采用 细胞免疫双荧光法进行检测):血清+脑脊液抗体均阴性。 寡克隆区带分析(由金域检验公司使用脑脊液免疫球蛋白 G 单克隆带检测试剂盒通过酶标免疫固定电泳法进行检 测):脑脊液免疫球蛋白 G 190.0mg/L(参考值:10-30 mg/L), 血清免疫球蛋白 G(IgG) 29.41 g/L(参考值:7-16 g/L) (提示 CNS 有鞘内合成且有血脑屏障破坏)。三大常规、 凝血功能、D 二聚体、肝功能、肾功能、甲状腺功能、空 腹及餐后 2 小时血糖、血脂四项、ANA、抗核抗体全套、 类风湿因子、特种蛋白、CA125、CA199、CEA、AFP、 PSA、EB 病毒二项、维生素 B 族全套、术前八项、血清 副肿瘤综合征抗体均未见明显异常
1.3 诊治经过
入院后查体可见患者双眼左侧偏盲、左侧肢体轻偏瘫, 左侧肢体偏身感觉障碍,且有面神经、视神经、三叉神经 受损的表现,病情进行性加重,起初考虑患者为进展性脑 卒中可能,遂按脑梗死予抗血小板聚集(拜阿司匹林 100mg qd、氯吡格雷 75mg qd)、调脂稳定斑块(阿托伐 他汀钙 20mg qn)、保护脑细胞等治疗,患者症状无改善, 遂于我院复查颅脑 MR,结果考虑炎性病变可能性大,予 完善腰椎穿刺检查后最终明确诊断。最终诊断为自身免疫 性脑炎(抗 Ig1on5 抗体阳性)。明确诊断后按照《病毒 性脑炎的诊治》[3]及《中国自身免疫性脑炎诊治专家共识 (2022 年版)》 [4]予激素冲击治疗(甲泼尼龙 1000mg 5 天;500mg 3 天;240mg 3 天),人免疫球蛋白(20g 5 天), 同时辅以护胃、补钙、补钾、营养神经、抗抑郁、改善睡 眠(阿普唑仑 0.4mg qn)等治疗,经一轮糖皮质激素及 免疫球蛋白冲击治疗后,患者症状仍未见明显好转,告知 患者可行第二轮冲击治疗,或行免疫吸附、血浆置换以及 二线免疫治疗,但患者及家属表示因经济困难拒绝继续治 疗,自动出院回当地医院进行后序治疗。2 个月后电话随 访患者,患者诉左侧肢体乏力较前稍有好转,但肢体麻木 及视力仍未恢复,且睡眠障碍明显,平均每晚仅睡 2 小时 左右。半年后随访,患者家属诉患者因脑炎在当地医院治 疗无效已故。
2 讨论
目前国内外对于抗 Ig1on5 抗体阳性自身免疫性脑炎 缺乏公认的临床表现标准[5],临床上确诊主要依靠从脑脊 液或血清中进行抗 Ig1on5 抗体检测,结果阳性提示确诊。 抗 Ig1on5 抗体阳性自身免疫性脑炎患者以女性居多,发 病中位年龄多在 60 岁左右,多以慢性起病、缓慢进展为 主要特征性表现,预后欠佳,死亡率高,中位生存期约 5.5 年 [6]。常见死亡原因主要有不明愿意的猝死[5]、中枢性 的通气不良、吞咽困难导致的吸入性肺炎等[5]、[7]。该病多 以睡眠障碍及步态不稳起病,部分患者有延髓综合征、类 进行性核上性麻痹(PSP)综合征、认知功能障碍等表现, 也有部分患者伴有舞蹈症样表现[8]、[9]、[10]。而睡眠障碍的主 要类型为快速眼动异常 [11]、[12]、[20],近年来也有相关报道指 出该类脑炎以肢体运动障碍、感觉障碍[13]等起病。 近年来相继有文献对该病的发病机制进行报道。Gaig 等学者曾有报道指出抗 Ig1on5 抗体阳性自身免疫性脑炎 是自身免疫和神经退行性变相结合慢性进展性疾病[8]。对 该类患者进行脑组织尸检可以看到过度磷酸化的 tau蛋白 沉积[1],国内也有专家团队对小鼠进行研究,结果表明抗 Ig1on5 抗体阳性自身免疫性脑炎感染的小鼠其脑组织中 有明显的 tau 蛋白沉积[14],侧面证实了本病会有神经退行 性变的临床表现。
近年来,随着对本病研究的深入,国外 有学者将抗 Ig1on5 抗体阳性自身免疫性脑炎归纳入抗 Ig1on5 抗体阳性脑病中,对本病基因学研究的结果表明人 类白细胞抗原(HLA)HLA-DRB1*10:01、HLA-DQB1*05: 01 单倍型与抗 Ig1on5 抗体的产生有一定的相关性[15],因 此,对于抗 IGIg1on5 抗体阳性相关脑病的患者建议完善 HLA 基因分型检查以便明确诊断。另国内外学者发现抗 Ig1on5 IgG1 抗体属于表面黏附因子[16],在该病的致病机制 中起到重要作用[6],因此,进行血清和脑脊液的抗 Ig1on5 抗体检测对疾病的诊断作用巨大。
目前国内外对于抗 Ig1on5 抗体阳性自身免疫性脑炎 的治疗推荐缺乏系统的方案,进行免疫治疗的有效性也存 在争议。根据近几年来的文献报道及相关病例分析,虽然 对于发病后启动治疗的最佳时间,目前尚无统计学依据, 但尽早开启免疫治疗在当前阶段得到一致认可[17]、[8]。目前 临床常用的治疗方案与其他常见自身免疫性脑炎的方案 基本一致,主要为皮质类固醇周期性静脉注射、免疫球蛋 白周期性冲击治疗、治疗性血浆置换、免疫抑制剂等[5]、[17]。 近两年的文献报道认为早期行联合治疗和使用二线免疫 治疗效果更佳[18]、[21],且疗效更持久。 本例患者不同于常规抗 Ig1on5 抗体阳性自身免疫性 脑炎的发病过程。
本病例以视力下降为首发症状,病情进 行性加重,逐渐进展为“三偏”症状。在当地医院就诊, 多次按照脑梗死进行治疗,病情未见好转,但均未进行脑 炎相关筛查。入住我科后,根据院外的 MR 口头报告提示 多发脑梗死,起初暂时继续按照脑梗死进行治疗。后于我 院复查 MRI 可见 DWI 相上多发稍高信号病灶,予完善腰 椎穿刺检查,行脑脊液自身免疫性脑炎抗体检测发现抗 Ig1on5 抗体阳性,遂明确诊断。但患者病程较长,起动免 疫治疗时机较晚,预后欠佳。已予以行糖皮质激素+免疫 球蛋白冲击治疗,但治疗效果仍欠佳。遗憾的是患者未能 进行第二轮冲击治疗及血浆置换、二线免疫等治疗。
经过此例患者的诊治,对临床疾病的诊疗提出新的思 路。“三偏征”为基底节区病变的临床表现[19],如脑血管 病、肿瘤等病变均可引起,其中以脑梗死最常见。此例患 者为亚急性逐渐进展的“三偏征”症状,外院 CT 提示右 侧基底节区低密度影,易误诊为脑梗死,因此颅脑 MR 检 查及腰椎穿刺脑脊液检验在诊断过程中起到至关重要的 作用。另外,在临床诊疗过程中,关注患者的睡眠状况在 疾病的诊断上也起着重要的作用。回顾本例,患者起病时 伴有睡眠障碍的表现,后逐渐出现运动障碍及真性延髓麻 痹的体征,而抗 Ig1on5 抗体阳性自身免疫性脑炎以睡眠 障碍为核心起病状况[7]、[15],因此,加强早期的全面的识症 能力在疾病确诊中意义重大。
参考文献:
[1]Madetko N, Marzec W, Kowalska A,et al. Anti-Ig1on5 Disease - The Current State of Knowledge and Further Perspectives[J]. Front Immunol. 2022 1;13
[2]Yoshikura N, Kimura A, Shimohata T. Novel Autoantibody-Related Encephalitis:anti-mGluR1 encephalitis, anti-Ig1on5 disease, autoimmune GFAP astrocytopathy[J].Brain Nerve. 2021 May;73(5):631-639.
[3] 关 鸿 志 . 病 毒 性 脑 炎 的 诊 治 [J]. 中 华 神 经 科 杂 志,2022,55(7):747-754.
[4]中国自身免疫性脑炎诊治专家共识(2022 年版)[J].中华 神经科杂志,2022,5(9):931-949
[5]Heidbreder A, Philipp K. Anti-IgLON 5 Disease[J]. Curr Treat Options Neurol. 2018 20(8):29.
[6]刁东卫,戚晓昆.抗 Ig1on5 抗体相关脑病[J].中华医学杂 志,2018,98(11):878-880.
[7]Fu Y, Zou X, Liu L. Epileptic Seizures and Right-Sided Hippocampal Swelling as Presenting Symptoms of Anti-Ig1on5 Disease: A Case Report and Systematic Review of the Literature[J]. Front Neurol. 2022 10;13
[8]Gaig C, Graus F, Compta Y, et al. Clinical manifestations of the anti-Ig1on5disease. Neurology[J].2017,88(18): 1736-1743.
[9]Shimohata T, Kimura A. Clinical features of anti-Ig1on5 disease[J]. Rinsho Shinkeigaku. 2021 61(12):825-832.
[10]Gaig C, Compta Y. Neurological profiles beyond the sleep disorder in patients with anti-Ig1on5 disease[J]. Curr Opin Neurol. 2019 32(3):493-499.
[11]Gaig C, Iranzo A, Santamaria J, et al. The Sleep Disorder in Anti-lgLON5 Disease[J]. Curr Neurol Neurosci Rep. 2018 18(7):41.
[12]Muñoz-Lopetegi A, Graus F, Dalmau J, et al. Sleep disorders in autoimmune encephalitis[J]. Lancet Neurol. 2020 19(12):1010-1022.
[13]张晨,贾冬梅.以下肢轻瘫及感觉障碍起病的 Ig1on5 抗 体相关脑病 1 例[J].中国临床案例成果数据库,2022,04(1).
[14]Ni Y, Feng Y, Shen D, et al. Anti-Ig1on5 antibodies cause progressive behavioral and neuropathological changes in mice[J]. Neuroinflammation.2022 19(1):140.
[15]Gaig C, Ercilla G, Daura X, et al. HLA and microtubule-associated protein tau H1 haplotype associations in anti-Ig1on5 disease[J]. Neurol Neuroimmunol. 2019 6(6):e605.
[16]王小倩,韩菊萍,黄亚锦等.抗 Ig1on5 抗体相关脑病研究 进展[J].中国神经精神疾病杂志,2021,47(11):681-685.
[17]Nissen MS, Blaabjerg M. Anti-Ig1on5 Disease: A Case With 11-Year Clinical Course and Review of the Literature[J]. Front Neurol. 2019 10:1056.
[18]Cabezudo-García P, Mena-Vázquez N, Estivill Torrús G, et al. Response to immunotherapy in anti-Ig1on5 disease: A systematic review[J]. Acta Neurol Scand. 2020 141(4):263-270.
[19]中华医学会神经病学分会,中华医学会神经病学分会 脑血管病学组.中国急性缺血性脑卒中诊治指南 2018[J].中 华神经科杂志,2018,51(9):666-682.
[20]Macher S,Milenkovic I, Zrzavy T, et al. Ocular Motor Abnormalities in Anti-Ig1on5 Disease[J]. Front Immunol. 2021 30;12
[21]任海涛, 关鸿志, 范思远, 等. 抗 Ig1on5 抗体相关 脑病三例分析[J].中华神经科杂志,2018,51 (8): 592-597.
作者简介:姚洪宇(1994—),女,汉族,黑龙江省大庆 市,大学本科,佛山市三水区人民医院,住院医师。
基 金 项 目 : 珠海市人民医院临床科研提升计划项目 (2023LCTS-23);珠海市社会发展领域科技计划项目 (2420004000256)。
Copyright© 2009~2025 查稿邮箱① : gjzzbjb@vip.163.com 邮箱② : gjlcyxgw@163.com 电话:023-68045338
本站所刊登的文章信息均为作者已经发表,未经协议授权禁止下载使用